За минувшие сутки от осложнений после гриппа в Киеве умерли две женщины

За минувшие сутки от осложнений после гриппа в Киеве умерли две женщины
В Киеве за последние сутки от гриппа умерли два человека. Об этом сообщила заведующая кафедрой инфекционных болезней НМУ им. А. Богомольца, заслуженный врач Украины, профессор Ольга Голубовская на своей странице в Facebook.
"Ну, началось... У нас в клинике уже две смерти от гриппа за сутки, у всех грипп типа А. Он был подтвержден быстрыми тестами, клиническая картина соответствовала диагнозу", – написала врач на своей странице в Facebook.
Также она сообщила, что больные были из группы риска и особенно уязвимы к этому штамму вируса. Они имели сахарный диабет. У одного из умерших его только обнаружили при поступлении в больницу. Пациенты обратились за помощью на пятый день болезни.
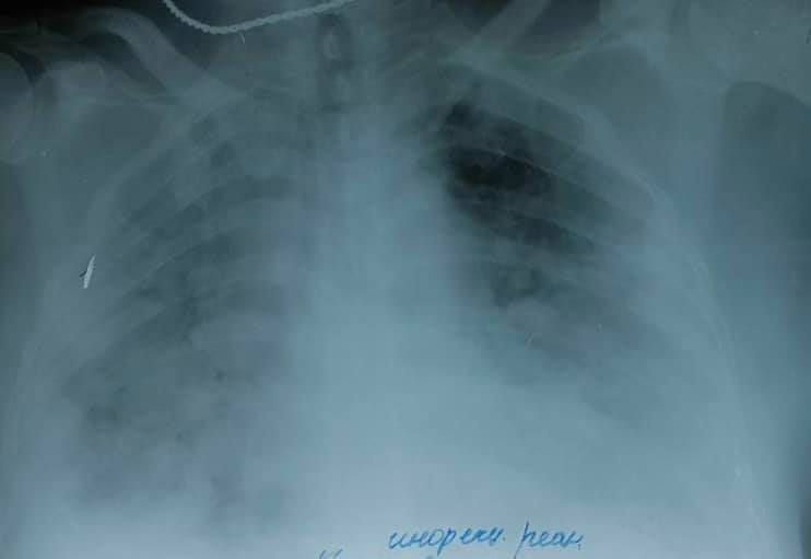
"Основное самое тяжелое осложнение сегодняшнего гриппа – тяжелые внегоспитальные вторичные пневмонии", – отметила Голубовская.
Также Голубовская отметила, что в группе риска находятся больные с сахарным диабетом, избыточной массой тела, дети до 2-х лет и взрослые старше 65 лет. "Назначение противовирусных препаратов в первые сутки снижает риск не только осложнений, но и частоту госпитализаций", - сообщает врач.
При этом Голубовская отметила, что в Украине из противовирусных препаратов у нас в стране доступен пока озельтамивир, резистентность к этому препарату очень низкая.



У больных наблюдаются осложнения гриппа - тяжелые внегоспитальные вторичные пневмонии Фото: facebook.com/ogolubovska
Теги: пациентыИнфекциисмертьГрипп
Коментарі:
comments powered by DisqusЗагрузка...
Наші опитування
Показати результати опитування
Показати всі опитування на сайті
