АНТИКОР — національний антикорупційний портал
МОВАЯЗЫКLANG
Київ: 8°C
Харків: 8°C
Дніпро: 8°C
Одеса: 8°C
Чернігів: 9°C
Суми: 8°C
Львів: 4°C
Ужгород: 8°C
Луцьк: 4°C
Рівне: 3°C

Размножение китайского коронавируса: ученые показали знаковое фото

Читать на русском
Размножение китайского коронавируса: ученые показали знаковое фото
Размножение китайского коронавируса: ученые показали знаковое фото

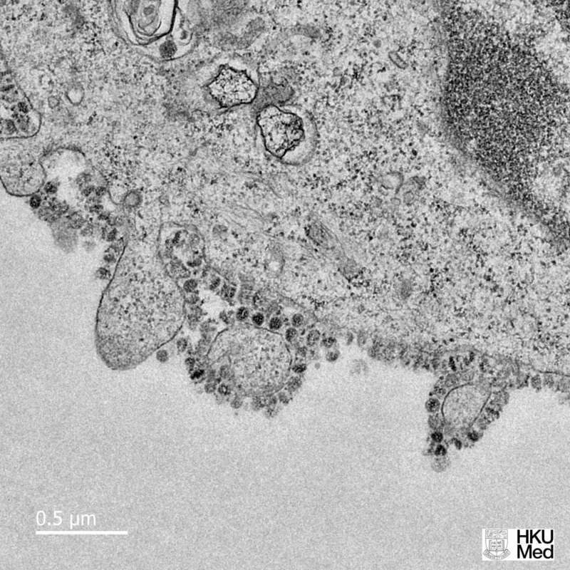
В Китае с помощью электронного микроскопа ученым удалось узнать, как размножается новый коронавирус внутри клетки. Исследователи из Университета Гонконга опубликовали снимки, которые демонстрируют размножение нового вируса.

Они изучили часть инфицированной клетки, выращенной в культуре, с вирусными частицами, которые высвобождаются с ее поверхности. Ученые отмечают, что в каждой инфицированной клетке могут появиться тысячи новых носителей коронавируса, которые затем поражают здоровые клетки, сообщает Bloomberg.

 dqxikeidqxidqeant


Теги: ИнфекциинаукаВирусЭпидемия коронавирусакоронавирус

Дата і час 01 лютого 2020 г., 19:04     Переглядів Переглядів: 2069
Коментарі Коментарі: 0


Коментарі:

comments powered by Disqus
07 листопада 2025 г.
loading...
Загрузка...

Наші опитування

Чи вірите ви, що Дональд Трамп зможе зупинити війну між Росією та Україною?







Показати результати опитування
Показати всі опитування на сайті
0.042554