АНТИКОР — національний антикорупційний портал
МОВАЯЗЫКLANG
Київ: 8°C
Харків: 8°C
Дніпро: 8°C
Одеса: 8°C
Чернігів: 9°C
Суми: 8°C
Львів: 4°C
Ужгород: 8°C
Луцьк: 4°C
Рівне: 3°C

Врачи обнаружили патологию у людей, переболевших коронавирусом без симптомов

Читать на русском
Врачи обнаружили патологию у людей, переболевших коронавирусом без симптомов
Врачи обнаружили патологию у людей, переболевших коронавирусом без симптомов

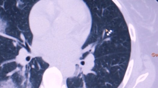
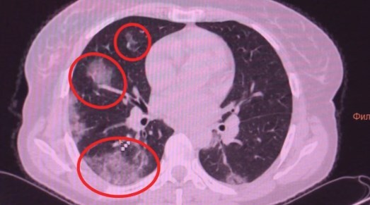
Японские и американские врачи обнаружили патологию у людей, которые переболели коронавирусом без симптомов.

У некоторых пациентов происходят изменения в легких.

Отмечается, что человек чувствует себя нормально, но коронавирус повреждает легочную ткань, на которой образуются уплотнения.

Врач-рентгенолог "Медико-хирургического центра на Пресне" Людмила Леонова пояснила, что воспаленная зона в легких начинает фиброзироваться (фиброз – уплотнение легочной ткани).

По ее словам, если болезнь протекает в легкой форме, то фиброз со временем проходит. Однако в тяжелой форме он чаще всего остается, учитывая возрастные показатели населения.


Теги: ПатологияпациентыБольныеЭпидемия коронавирусакоронавирус

Дата і час 11 квітня 2020 г., 01:28     Переглядів Переглядів: 4315
Коментарі Коментарі: 0


Коментарі:

comments powered by Disqus
loading...
Загрузка...

Наші опитування

Чи вірите ви, що Дональд Трамп зможе зупинити війну між Росією та Україною?







Показати результати опитування
Показати всі опитування на сайті
0.043278