Самая долгая пандемия в истории человечества

Самая долгая пандемия в истории человечества
В выпуске газеты Nature от 2002 года было сделано сенсационное заявление: по мнению ученых, почти половина людей, которые когда-либо жили на Земле, могли умереть из-за малярии. Неужели эта болезнь действительно так опасна?
Об этом для Hi-news пишет Александр Богданов.
В 2018 году почти 230 миллионов человек по всему миру пострадали от малярии, и около 500 тысяч умерли в результате инфицирования. Более 60% жертв пришлось на детей до пяти лет. Это одна из самых старых болезней в мире, исследователи смогли проследить ее аж до времен динозавров. Коронавирус, испанка и другие пандемии просто нервно курят в сторонке. И хотя малярию научились лечить, каждый год в разных странах наблюдают масштабные вспышки эпидемии.

Эти небольшие комары стали причиной смертей миллионов человек
Ситуация осложняется тем, что малярией очень легко заразиться. Достаточно, чтобы человека один раз укусил комар, который является переносчиком инфекции. Вспомните, сколько раз за лето вас кусают комары? Если часто ходите в лес или к озеру, то наверняка несколько раз за один только день. Часто люди даже не замечают, что их укусили, пока место укуса не начнет чесаться, или там не появится характерный шрам. Каким же образом крошечный комар может убивать миллионы человек?
Что такое малярия
Существует четыре вида этих паразитов, вызывающих малярию у людей, но за большинство инфекций ответственны только два: плазмодиум фальципарум (P. falciparum) и плазмодиум вивакс (P. vivax).
Малярийный плазмодий размножается двумя способами: бесполым путем внутри ткани печени и клеток крови хозяина и половым путем внутри самок комаров анофелес через специализированные половые клетки, которые насекомое поглощает с кровью хозяина.
Как можно заразиться малярией
Малярийный плазмодий может передаваться только через укус инфицированной самки комара анофелес, что делает насекомое жизненно важным звеном в цепи болезни. То есть сам комар не является причиной малярии, он, скорее, ее переносчик, но очень смертоносный. Комаров анофелес много, их укус, конечно, отличается от привычных нам комаров, но и его зачастую можно просто не заметить. В результате малярия продолжает оставаться распространенным заболеванием в тех частях мира, где этот вид комаров размножается в больших количествах, особенно в тропических регионах Африки.

Комар анофелес
Ученые считают, что малярия оказала большее влияние на миграцию людей, чем любой другой фактор. Они старались убраться подальше от тех мест, где наблюдали большие концентрации комаров анофелес. Впоследствии люди пришли к выводу, что малярийный комар не может выживать и размножаться при низких температурах. С этим было связано перемещение человека ближе к северу. Плотность населения в тропических странах до сих пор гораздо меньше, чем в более северных, и немалую роль в этом сыграла именно малярия.

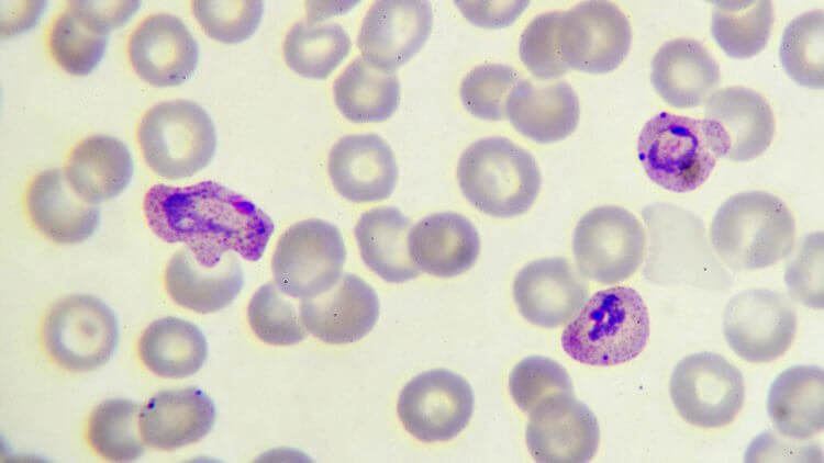
Передаваясь человеку через укус комара, вызывающий малярию паразит плазмодий (показан фиолетовым цветом) размножается в красных кровяных тельцах
Во время засушливого сезона в Африке, когда комаров мало, малярийный плазмодий почти не распространяется. Куда же он девается? Паразиты прячутся в организме человека, не давая инфицированным клеткам цепляться за кровеносные сосуды. Таким образом, инфицированные клетки не попадают в кровь, а уровень паразитов в организме остается низким, позволяя паразиту оставаться незамеченным. Человек может и не подозревать, что он является возможным переносчиком малярии.

Эпицентром малярии является Африка
Симптомы малярии
Примерно через одну-три недели после укуса комара анофелес и последующего заражения у человека появляются симптомы, напоминающие симптомы гриппа, которые включают:
-
обильное потоотделение;
-
лихорадку;
-
головные боли;
-
боли в суставах;
-
рвоту.
В тяжелых случаях кожа и глаза больного могут пожелтеть из-за нарушения функции печени.
Профилактические лекарства или сильный иммунитет могут отсрочить симптомы или сделать их менее серьезными. При отсутствии лечения заболевание может вызвать осложнения, включая затрудненное дыхание и слабость из-за анемии, что может подвергнуть маленьких детей и людей с ослабленным иммунитетом риску смерти.

Паразит малярийный плазмодий проникает в кровяные тельца
Как лечится малярия?
С течением времени были разработаны различные натуральные и синтетические препараты, которые помогают снизить вероятность заражения малярийным плазмодием. Однако ногие лекарства имеют побочные эффекты, риск осложнений и вызывают повышенную чувствительность к компонентам препаратов.
Ранняя диагностика дает инфицированным больше шансов на выздоровление. В настоящее время рекомендуются методы лечения на основе противомалярийного вещества артемизинина. Сочетание этого лекарства с другими препаратами снижает риск развития устойчивых штаммов плазмодия.
Может ли лекарство от малярии помочь от коронавируса?
Хлорохин — широко используемый препарат против малярии и аутоиммунных заболеваний — блокирует вирусные инфекции, изменяя кислотность внутри клеток и воздействуя на рецепторы коронавируса тяжелого острого респираторного синдрома (SARS), вспышка которого произошла в 2003 году. Изначально ВОЗ рекомендовала его для лечения коронавируса, однако затем изменила свою рекомендацию из-за большого количества побочек. Кроме того, для многих больных гидроксихлорохин оказался неэффективным.
За последние годы был достигнут значительный прогресс в разработке вакцины для предотвращения заражения малярией. В 2019 году в рамках программы вакцинации против малярии под руководством ВОЗ в трех странах Африки к югу от Сахары была распространена вакцина под названием RTS, S / AS01(торговое название Mosquirix), которая способна устранить малярийного плазмодия, самого смертоносного паразита в мире.
Безусловно, наиболее эффективным средством борьбы с этим заболеванием является строгий контроль его переносчика — комара анофелес. Использование москитных сетей, пестицидов и уничтожение колоний комаров помогли многим людям, находящимся под угрозой, практически ликвидировать одну из самых старых болезней в истории.
Теги: пандемияИнфекцииCOVID-19Эпидемия коронавирусакоронавирусВирусМалярия
Коментарі:
comments powered by DisqusЗагрузка...
Наші опитування
Показати результати опитування
Показати всі опитування на сайті
