У Львові з 6-річного хлопчика лікарі дістали незвичний предмет

У Львові з 6-річного хлопчика лікарі дістали незвичний предмет
У Львові до обласної дитячої лікарні «Охматдит» на швидкій потрапив шестирічний пацієнт із болями в животі. У приймальному відділенні лікарі діагностували в дитини гострий апендицит.
Про це повідомляють медики львівського «Охматдиту» у Facebook.
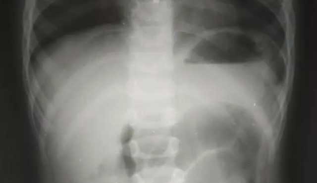
Дитячого хірурга Кирила Лапшина дуже здивував рентген-знімок. У черевній порожнині чітко візуалізувався дивний сторонній предмет, який за обрисами схожий на кулю від пневматичної гвинтівки.
Медик уточнив у тата хлопчика, чи міг син проковтнути кулю. Чоловік повідомив, що у них вдома є пневматична рушниця та до неї металеві кулі, якими дитина нещодавно гралася. Ймовірно, випадково хлопчик проковтнув одну з них. Все б закінчилося добре, якби куля потрапила зі шлунка в кишківник і вийшла.
Але в маленького пацієнта куля потрапила в апендикс, це стало причиною запального процесу, через що хлопчику знадобилася термінова операція.
Хворому провели лапароскопічну операцію — видалили запалений апендикс через три невеликі проколи у животі.
«Коли ми видаляли апендикс, я відразу побачив, що в ньому є потовщення. Ми його видалили й уже назовні розрізали. Там справді була куля! Вона, як стороннє тіло, потрапила з кишківника в апендикс і створила його обструкцію. Це і стало незвичайною причиною апендициту», — повідомив дитячий хірург Кирило Лапшин.
Малечу вже виписали додому, а його батько пообіцяв медикам надійно ховати кулі та зброю.
Теги: МедицинахірургиОхматдитДітилікаріЛьвів
Коментарі:
comments powered by DisqusЗагрузка...
Наші опитування
Показати результати опитування
Показати всі опитування на сайті


