О том, что операция прошла успешно, сообщили 11 января. Об этом рассказал главный врач областной больницы Днепропетровской области Сергей Рыженко.
Какие были симптомы
По словам медика, пациентке 30 лет и ее зовут Ольга. Женщина уже на 30 неделе беременности и хотела встретить Новый год тихо и в кругу семьи.
Однако накануне она заболела. Женщина почувствовала резкую головную боль и головокружение. Также она потеряла сознание, поэтому близкие немедленно вызвали скорую.
Что обнаружили у пациентки
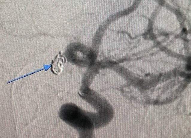
Врачи сразу провели компьютерное исследование ангиографии. Это помогло заметить кровь в головном мозге. Они поняли, что это привело к тяжелому состоянию.

В эндоваскулярном центре провели консилиум врачей и решили, что нужно провести эмболизацию аневризмы. Медикам пришлось ввести специальный проводник через доступ к лучевой артерии в сосуды головного мозга.
Несмотря на праздничность дней, все врачи приехали и были до конца операции рядом. После операции будущая мама как страшный сон вспоминает эту новогоднюю минуту, – отметил Рыженко.
Он добавил, что пациентку выписали уже на Рождество. Теперь она хочет рожать своего малыша в этом медучреждении.
Источник: Фейсбук Сергея Рыженко

