У мозку 80-річної росіянки знайшли голку. Так убивали дітей у голодні роки

У мозку 80-річної росіянки знайшли голку. Так убивали дітей у голодні роки
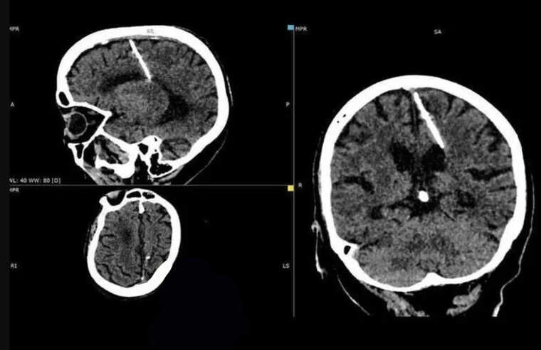
У мозку 80-річної мешканки Сахаліну (РФ) виявили трисантиметрову голку.
Про це повідомило МОЗ Сахалінської області, пишуть російські ЗМІ.
Стороннє тіло помітили під час комп’ютерної томографії. На думку лікарів, голку їй у голову встромили батьки після її народження. Таким чином вони хотіли позбутися дитини.
«Такі випадки у голодні роки були не рідкістю: немовляті у тім’ячко вставлялася тонка голка, яка ушкоджувала мозок. Тім’ячко швидко затягувалося, приховуючи сліди злочину, а малюк гинув», — зазначили в обласному МОЗ.
Голка проникла у ліву тім’яну частку. Очікуваних наслідків не сталося – дівчинка вижила. Більше того, згодом її ніколи не мучив головний біль. Стороннє тіло виявили лише цього року.
Оскільки здоров’ю пацієнтки нічого не загрожує, голку вирішили не виймати.
Теги: РоссияРосіяІнцидентИнцидентСахалин
	Коментарі:
comments powered by DisqusЗагрузка...
Наші опитування
Показати результати опитування
Показати всі опитування на сайті
				
				
				
				
				
				
				
				
			
		
		