У Львові лікарі "Охматдит" врятували 10-місячного хлопчика, який проковтнув перстень

У Львові лікарі "Охматдит" врятували 10-місячного хлопчика, який проковтнув перстень
У Львові лікарі "Охматдиту" здійснили операцію 10-місячному хлопчику, який випадково проковтнув іграшковий перстень, врятувавши його життя.
Про це повідомили в лікарні.
Батьки хлопчика помітили, що їхній син став дуже неспокійним. Його турбувала постійна слинотеча, виникли проблеми з диханням і задишка. Малюк не міг нічого ковтати.
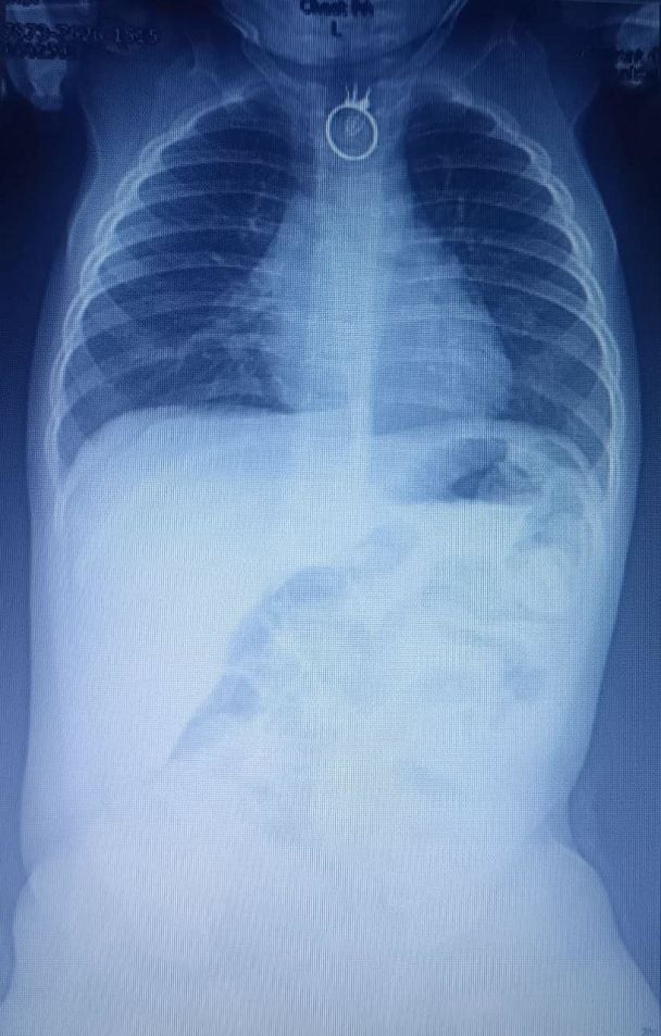
"Тоді вони зрозуміли, що, можливо, хлопчик проковтнув сторонній предмет. Після цього батьки одразу вирушили до місцевої лікарні в Новому Роздолі. Там лікарі провели малюкові рентген, на якому виявили стороннє тіло. Згодом дитину негайно каретою швидкої допомоги доправили до Центру дитячої медицини лікарні "Охматдит", - йдеться у повідомленні.
"Одразу після госпіталізації, о другій годині ночі, ми взяли дитину на операційний стіл і провели ригідну езофагоскопію з видаленням стороннього тіла. Це був перстень. Все минуло успішно та без особливостей. Однак іграшковий перстень трохи пошкодив стравохід", – розповів дитячий хірург Олександр Колодій.
Після всіх необхідних обстежень хлопчика відпустили додому.
Теги: ОхматдетОхматдитЛьвівЛьвовДітиДети
Коментарі:
comments powered by DisqusЗагрузка...
Наші опитування
Показати результати опитування
Показати всі опитування на сайті
